Aller au contenu

Messages recommandés

Posté

Bonjour, en ce moment je cumule des cas insolites... et en cherchant sur SRFA je n'ai pas trouver de cas similaire.

 

Je vous explique le contexte. 

 

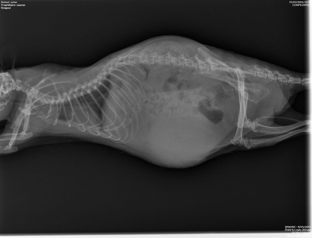
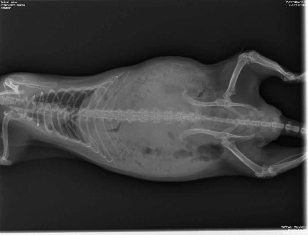
J'ai constaté hier matin qu'il avait le ventre super gonflé, tendue, dur. Je sent une masse je me dis direct "tumeur". J'ai réussi à avoir un rdv en urgence à la clinique vétérinaire. 14 h30 elle palpe, et on part directement en échographie (je suis présente), et on voit une "poche" de liquide ENORME d'origine inconnue MAIS il y a en plus une masse dans cette "poche". De là il part en radiographie pour voir mieux ce qu'il en est.

 

Là le verdict tombe. Un énorme fécalome d'origine inconnue dans le colon qui lui est super dilaté et la "poche" d'un liquide au milieu. (Je vais mettre les radio juste en dessous). 

 

Je prends la décision avec la vétérinaire de tenter de l'opérer pour drainer la "poche", et un lavement pour essayer de débloquer le colon (c'était soit ça, soit l'eutha on pouvait pas le laisser comme ça). 

 

18h30 l'opération commence, après 1h30 d'attente je reçois l'appel le plus stressant de ma vie et des informations. 

 

Alors il y avait bien un abcès entouré du mésentère en quantité astronomique avec des morceaux noirs (qu'on suppose nécrose). (Elle doute que ce soit la rate, elle n'a pas trouver l'organe en ouvrant). 

Fécalome de selle extrêmement dur, un lavement à été réalisé. 

 

Par chance il c'est réveillé de l'anesthésie et de la chirurgie mais malheureusement mon petit Arion Sherwind c'est battu du plus qu'il le pouvait et est décédé cette nuit à la clinique vétérinaire.

 

Repose en paix p'tit coeur.

 

J'aimerais savoir s'il y a déjà eu des cas similaire, car on a aucune idée de comment et pourquoi un abcès c'est déclarer aussi vite et un fécalome secondaire pile poil en même temps. 

 

 

314c4fb6-8832-4a91-be6b-0adc9bc0c81e.jpg

a50ae79e-fad2-40be-b703-0f2bfa12fa88.jpg

  • Tristesse 1
Posté

Quel âge ? Cliniquement, c'est ce qu'on appelle un mégacôlon (sans préjuger de la cause). Désolée pour ton bonhomme.

Posté
il y a 4 minutes, Artefact a dit :

Quel âge ? Cliniquement, c'est ce qu'on appelle un mégacôlon (sans préjuger de la cause). Désolée pour ton bonhomme.

approximativement 20 mois c'est un RB 

Posté
il y a 44 minutes, Artefact a dit :

Quel âge ? Cliniquement, c'est ce qu'on appelle un mégacôlon (sans préjuger de la cause). Désolée pour ton bonhomme.

Le mégacôlon peut ne pas faire un ventre énorme visuellement parlant ? Comme on le voit sur les mégacôlons chez des ratons? Parce que de visu sur les photos d'hier, il n'avait pas un énorme ventre comme on le voit sur les mégacôlons génétique par exemple. Mais il était gonflé effectivement, Élodie a pu sentir une masse interne dur, et il avait clairement un poil en mauvais état faisant penser à une souffrance ou un pb de santé, d'ailleurs, il traînait aussi les pattes arrières, c'est ce qui l'a amené à consulter. 

Rejoindre la conversation

Vous pouvez publier maintenant et vous inscrire plus tard. Si vous avez un compte, connectez-vous maintenant pour publier avec votre compte.

Invité
Répondre à ce sujet…

×   Collé en tant que texte enrichi.   Coller en tant que texte brut à la place

  Seulement 75 émoticônes maximum sont autorisées.

×   Votre lien a été automatiquement intégré.   Afficher plutôt comme un lien

×   Votre contenu précédent a été rétabli.   Vider l’éditeur

×   Vous ne pouvez pas directement coller des images. Envoyez-les depuis votre ordinateur ou insérez-les depuis une URL.

[Projet vidéo] ChatBox

[Projet vidéo] ChatBox

    Vous n'avez pas la permission d'utiliser les salons de discussions.
    ×
    ×
    • Créer...

    Information importante

    En poursuivant votre navigation sur ce site, vous acceptez l’utilisation de cookies permettant d'améliorer votre expérience de navigation et mémoriser vos paramètres utilisateur pendant votre visite. Aucune information contenue dans ces cookies ne permet de vous identifier sans votre permission. SRFA ne transmet aucune information non anonyme à des applications tierces.