Aller au contenu
Incident lié au domaine srfa.info ×

Messages recommandés

Posté

Bonjour à tous,

 

Je poste ce cas le cœur douloureux.

Ma petite Suzette, récupérée chez un particulier, qui n'a pas su lui accorder d'amour, qui pensait qu'il s'agissait d'un mâle, a rejoint la maison le 19 octobre.

Elle proviendrait d'une animalerie "Melila Jardin" sur Rodez, et avait 3 semaines a priori le jour de son arrivée en point de vente...

Sacré caractère, elle m'a mordu bien des fois sans méchanceté mais bien fort, avant de m'accorder sa confiance. Assez solitaire, elle a tout de même tissé des liens avec ses copines.

Un mois plus tard, consultation vétérinaire car elle était prise au niveau respiratoire. On a réussi à maitriser son affection, malgré la difficulté à la traiter car tout petit calibre.

Depuis lors, ça allait plutôt bien, mais elle ne grandissait pas, avait des moments de nervosité/apathie.

Puis ce week-end, elle a gonflé considérablement.

Une alimentation adaptée a été mise en place, qui l'a soulagé immédiatement. Sans surprise, en mettant à bout tous ces éléments : Diagnostic de mégacôlon. 

On sait qu'on ne va pas pouvoir faire de miracle... Mais on va tenter de lui faire gagner du temps avec la paraffine...

Si son confort de vie vient à en être atteint, notamment par un arrêt de son alimentation ou des douleurs notables, nous mettrons fin à sa courte vie... Le rendez-vous est déjà positionné.

Ce post pour regrouper des conseils, des témoignages et de référencer un cas récent d'adulte souffrant du MC.

 

Merci :malade:

 

 

PXL_20260117_110614770.jpg

  • Tristesse 3
Posté (modifié)

J'ai oublié de préciser, même si c'est partiellement constatable sur la photo : La louloute est PED, nue. 
Elle est en forme de "bouteille d'orangina" (même si cette expression est habituellement utilisée pour la gestation).

On pouvait même distinguer la forme du colon lorsqu'elle était encore plus gonflée sur les flancs.

S'agissant du régime alimentaire, purée de légumes, légumes frais, huile d'olive/saumon, racines de pissenlit... 

Modifié par Emhyrat
Posté

Désolée pour cette petite poulette, j'espère que vous allez trouver la meilleure solution pour sa qualité de vie. Cherche "Tetafouine" dans le forum, c'est une rate chez @Vazahaqui a vécu jusqu'à 15 mois avec un mégacôlon un peu particulier (je ne me souviens plus de tous les détails mais elle avait notamment un problème anal qui avait pu être amélioré par une chirurgie). Tu trouveras peut-être des idées ou des trucs supplémentaires pour aider Suzette. 

  • J'aime 2
Posté
Il y a 2 heures, Artefact a dit :

Désolée pour cette petite poulette, j'espère que vous allez trouver la meilleure solution pour sa qualité de vie. Cherche "Tetafouine" dans le forum, c'est une rate chez @Vazahaqui a vécu jusqu'à 15 mois avec un mégacôlon un peu particulier (je ne me souviens plus de tous les détails mais elle avait notamment un problème anal qui avait pu être amélioré par une chirurgie). Tu trouveras peut-être des idées ou des trucs supplémentaires pour aider Suzette. 

Effectivement, elle avait aussi un problème de sphincter qui ne se contractait pas correctement. Mais une fois opérée ça allait à peu près. 

 

La nourriture adaptée à vie, notamment de l'emeraid ça a beaucoup aidé.

  • J'aime 1
Posté

Merci pour vos réponses :love:

On croise les doigts... 

Je lui ai donné du Critical Care l'autre jour, c'est un peu la même chose que l'Emeraid.

Je donnerai des nouvelles sur le post selon l'évolution... 

Merci encore :puppyeyes:

Posté
Il y a 8 heures, Ostracod a dit :

Coucou,

Je te l'ai dit en mp mais je partage ici aussi les liens de ratguide

https://ratguide.com/health/digestive/gastrointestinal/megacolon.php

Le cas d'un rat diagnostiqué à 3 mois qui a vécu jusqu'à 19 mois

https://ratguide.com/health/figures-health/megacolon_figure_2c.php

Et son régime https://ratguide.com/health/figures-health/megacolon_figure_5.php

 

 

Le cas en question est aussi une PED nue, il faut garder espoir hihi... :puppyeyes:

Posté (modifié)

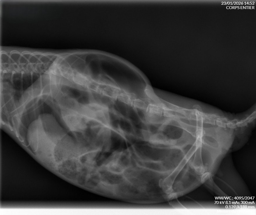
Bonjour,

 

De retour de la consultation pour ma petite Suzette, dont l'état ne s'est pas dégradé cette semaine.

J'appréhendais ce rendez-vous... Au final, pas de surprise, on est bien face à un mégacôlon idiopathique.

La radio, que j'ai récupéré pour vous, n'a pas révélé d'occlusion intestinale ou de masse.

Ma petite puce reste bien vive, elle va donc rester avec nous jusqu'au jour où cela deviendra trop douloureux pour elle...

Mais aujourd'hui, on n'y est pas:panique:

 

Picoxia__2026-01-23_15-10__ASOLO Delphine_Suzette_1.jpg

Modifié par Emhyrat
  • J'aime 3
  • 3 semaines après...
Posté

Bonjour,

 

Après deux semaines de traitement palliatif, je peux vous dire que c'est pas simple de maîtriser les gonflements, douloureux par moment.

Le plus grand allié reste la bouillotte tiède avec les massages...

Elle s'alimente toujours, mais je sens qu'on ne va pas pouvoir la garder encore très longtemps...

Mon petit cœur saigne à cette idée... ;(

  • Tristesse 2
Posté

Elle a déjà de la chance d'avoir pu être prise en charge correctement tout ce temps :(

Bon courage :(

  • J'aime 1
Posté

Merci ça me touche :joie:

Elle est tellement formidable cette petite...

Posté

Désolée pour Suzette, tu as fait le max pour elle, elle a eu de la chance de croiser ta route.

  • J'aime 1
Posté

Merci @Artefact :joie: Ce sont des paroles qu'on apprécie toujours à entendre dans ces moments-là...
J'aurais tellement aimé qu'elle profite plus de la vie... Et qu'elle continue à se blottir contre maman bouillotte... <3

Posté

Je suis vraiment désolée :( Et +1 avec Arte. Parfois on ne peut pas les sauver, mais ce qu'on fait pour faciliter leur vie en attendant est déjà beaucoup. 

  • J'aime 1
Posté

Merci beaucoup...

Le départ de ma petite aura concrétisé ma décision de quitter mon actuel boulot, pour un nouveau départ, au plus près de mes amours quotidiennement, je l'espère <3

Rejoindre la conversation

Vous pouvez publier maintenant et vous inscrire plus tard. Si vous avez un compte, connectez-vous maintenant pour publier avec votre compte.

Invité
Répondre à ce sujet…

×   Collé en tant que texte enrichi.   Coller en tant que texte brut à la place

  Seulement 75 émoticônes maximum sont autorisées.

×   Votre lien a été automatiquement intégré.   Afficher plutôt comme un lien

×   Votre contenu précédent a été rétabli.   Vider l’éditeur

×   Vous ne pouvez pas directement coller des images. Envoyez-les depuis votre ordinateur ou insérez-les depuis une URL.

[Projet vidéo] ChatBox

[Projet vidéo] ChatBox

    Vous n'avez pas la permission d'utiliser les salons de discussions.
    ×
    ×
    • Créer...

    Information importante

    En poursuivant votre navigation sur ce site, vous acceptez l’utilisation de cookies permettant d'améliorer votre expérience de navigation et mémoriser vos paramètres utilisateur pendant votre visite. Aucune information contenue dans ces cookies ne permet de vous identifier sans votre permission. SRFA ne transmet aucune information non anonyme à des applications tierces.