Aller au contenu

Messages recommandés

Posté

J'ai eu le veto ce soir, l'antibiogramme est revenu négatif, ce qui n'est pas forcément surprenant pour des mycoplasmes. Et on est OK que c'est assez inhabituel d'avoir une telle virulence chez ce mycoplasme... Mais que ça reste très probablement lui la cause du soucis. 

Bref, on va se concentrer sur les vivants, ils n'y a pas de raisons que le traitement actuel n'en vienne pas à bout ><

Posté

Et voilà pour l'histologie. 

Révélation

Examen
Poumon
Multifocalement, les bronches, bronchioles et cloisons alvéolaires sont nécrosées avec accumulation marquée de fibrine, d'hématies et de cellules inflammatoires de type polynucléaires neutrophiles viables et dégénérés et macrophages, associés à la présence de colonies bactériennes dense et basophiles. Le reste des alvéoles est rempli par un matériel éosinophile halin (liquide d'oedème).

 

Conclusion
Bronchopneumonie fibrino-nécrotique multifocale marquée

 

Commentaire (Exemplaire vétérinaire)
L'examen histologique met en évidence une bronchopneumonie.
La morphologie lésionnelle est compatible avec une infection bactérienne. Les principaux diagnostiques différentiels sont une streptococcose à Streptococcus pneumoniae, une infection à Corynebacterium kutscheri ou une pasteurellose à Pasteurella pneumotropica. La majorité de ces infections sont souvent secondaires à un stress ou d'autres maladies intercurrentes.
Ces donnés sont à corréler aux données cliniques, épidémiologiques et bactériologiques.

 

Voilà pour les dernières news. On a eu un mieux après l'ajout de la tylosine en nébu, mais je trouve Pyridion et Caryopse un peu moins bien depuis hier >< J'espère que ce n'est qu'une passade, on a rdv jeudi matin chez le véto pour le suivi. 

  • Merci 1
  • Tristesse 2
Posté

Du coup, visite ce matin : on arrête les traitements chez les filles et chez les 2 mâles qui vont bien.

Les 3 autres sont mieux (pas bcp mieux pour Pyridion, chez Caryopse c'est lent, sûrement les lésions pulmonaires qui mettent du temps à se réparer, chez Drupe, un vrai mieux)  mais poumons toujours atteints, donc on les isole des autres et on continue.

 

Pour mon veto, c'est clairement lié au mycoplasme, même si on a sûrement une surinfection effectivement. Mais à priori pas de danger pour remettre les bébés avec les autres une fois guéris. Là on se revoit dans 1 semaine pour ceux pour qui on arrête le traitement, pour vérifier que tout va toujours bien.

  • J'aime 3
  • Merci 1
Posté

Je croise très très fort pour que ça aille de mieux en mieux.

Courage à toi pour les traitements qui continuent. Tu dois saturer à force...

  • J'aime 3
Posté

Oui plein de courage franchement c'est un boulot colossal.

 

Je croise pour eux !!!

  • J'aime 1
  • Merci 1
  • 3 semaines après...
Posté

Bon, faudra que je vous remonte les radios de ce jour...

Il nous reste donc 3 malades : Drupe, Caryopse et Pyridion.

Drupe va vraiment mieux, poumons encore touchés mais mieux quand même (mais décidément c'est bien long).

Pyridion a eu un vrai mieux la semaine dernière et grosse dégradation là. Les radios n'ont pas bougé depuis 3 semaines...

Et Caryopse, mon petit nain (180g) va physiquement pas trop mal, c'est à dire qu'il respire vite mais pas pire quoi... par contre ses radios sont... bref, le veto ne s'y attendait pas du tout lui non plus... en gros, petit mieux là où il était touché avant mais dégradation asur le reste du poumon... 

 

Bref, le veto arrive un peu au bout de ses idées, je me sens tellement impuissante aussi...

Pour les 2 derniers on bascule sur enrofloxacine par nébu + marbofloxacine, pour tester parce que bon, là... 

 

C'est franchement dur, on était sur une bonne dynamique et ça là... 

À côté, grâce à @Senalina, je commence à lire des publications sur les zoonoses inversées, mais je ne sais plus quoi faire ni quoi proposer... 

  • Tristesse 2
Posté
Il y a 1 heure, Vazaha a dit :

Bon, faudra que je vous remonte les radios de ce jour...

Il nous reste donc 3 malades : Drupe, Caryopse et Pyridion.

Drupe va vraiment mieux, poumons encore touchés mais mieux quand même (mais décidément c'est bien long).

Pyridion a eu un vrai mieux la semaine dernière et grosse dégradation là. Les radios n'ont pas bougé depuis 3 semaines...

Et Caryopse, mon petit nain (180g) va physiquement pas trop mal, c'est à dire qu'il respire vite mais pas pire quoi... par contre ses radios sont... bref, le veto ne s'y attendait pas du tout lui non plus... en gros, petit mieux là où il était touché avant mais dégradation asur le reste du poumon... 

 

Bref, le veto arrive un peu au bout de ses idées, je me sens tellement impuissante aussi...

Pour les 2 derniers on bascule sur enrofloxacine par nébu + marbofloxacine, pour tester parce que bon, là... 

 

C'est franchement dur, on était sur une bonne dynamique et ça là... 

À côté, grâce à @Senalina, je commence à lire des publications sur les zoonoses inversées, mais je ne sais plus quoi faire ni quoi proposer... 

C'est dur :( dans ces cas-là on ne sait plus à quel saint se vouer ni sur quel pied danser ..... je ne peux rien dire de plus que bon courage à toi, on voit que tu fais tout ton possible depuis le début en tout cas <3 

  • Merci 1
Posté

Je suis tellement désolée que tous tes petits ne soient pas guéri... J'espère que Drupe, Caryopse et Pyridion vont s'en sortir. Est-ce que tu as tenté l'antibiotique dont je t'avais parlé ? Sait-on jamais...

Courage, je pense fort à toi, c'est tellement injuste et affreux à vivre. 

Posté

Non, j'avoue que j'ai oublié avec tout ça. On parle du chloramphénicol ? Je pourrais lui en parler 

  • 2 semaines après...
Posté

Bon, Drupe et Caryopse continue de prendre du poids régulièrement, mais Pyridion est en chute libre... Entre le 1er et le 4 mars, il a pris de 220 à 230g, on était super contents, puis il a perdu petit à petit, le 8 il n'était plus qu'à 215g, on a changé de traitement, il est aujourd'hui à 197g... Mardi et jeudi il avait repris un peu donc comme j'ai eu du mal à bien lui donner le marbofloxacine (seule la citation des molécules actives est autorisée) au début, je me suis dit que ça commençait à faire effet, mais en fait il continue à perdre... je contacte mon veto demain (la prochaine visite était prévue le 28...).

 

Si vous avez des idées de choses à tester, de contacts que je pourrais donner à mon veto pour réfléchir à plusieurs, je prends. 

 

  • Tristesse 6
Posté

Je suis tellement désolée pour Pyridion... J'espère qu'il va s'en sortir.

Peut-être que vous pourriez tester l'antibiotique dont je t'avais parlé il y a un moment ?

Heureusement que les autres vont mieux au moins. 

Courage... 

Posté
il y a 30 minutes, Tani a dit :

Je suis tellement désolée pour Pyridion... J'espère qu'il va s'en sortir.

Peut-être que vous pourriez tester l'antibiotique dont je t'avais parlé il y a un moment ?

Heureusement que les autres vont mieux au moins. 

Courage... 

Oui, j'en parle dans le mail qui est prêt à partir pour demain matin ^^'

Posté

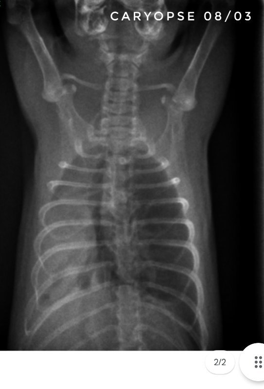
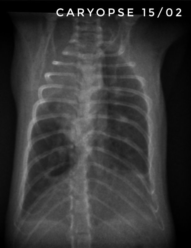
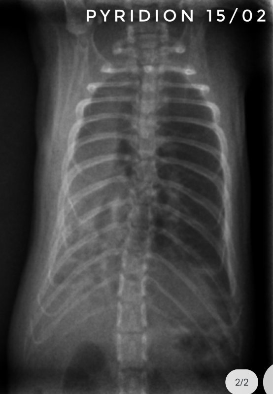
Ah et une info que je n'ai jamais mise en avant, mais si jamais ça fait tilt à quelqu'un : c'est toujours le lobe crânial (poumon droit) qui est touché en premier, et quasi que le poumon droit chez chacun des raton qui a été radiographié. J'ai jamais fait gaffe à ça avant sur les radios de mes rats, je sais pas si c'est un classique ou si ça peut être un marqueur de quelque chose.

Posté

Toujours pour ceux que ça intéresse, les dernières  radios et le suivi du poids (Pyridion a commencé à perdre du poids le 04 mars, traitement changé le 08) 

Screenshot_20240319_130710-01.jpeg

Screenshot_20240319_130507-01.jpeg

Screenshot_20240319_130924-01.jpeg

Screenshot_20240319_130226-01.jpeg

Screenshot_20240319_130800-01.jpeg

Screenshot_20240319_130411-01.jpeg

Screenshot_20240320-080414_Sheets.jpg

  • J'aime 1
  • Merci 2
  • Tristesse 1
Posté

Je croise fort pour tes derniers petiots et en particulier pour Pyridion. J'espère que le nouveau traitement va enfin faire effet...

  • J'aime 1
  • Merci 1
Posté

Courage à toi. J'espère que Pyridion va se battre!!

Tellement rageant, tu fais le maximum !! On se sent tellement impuissant dans ce genre de cas 😞

Caresses aux 3 loulous !

  • J'aime 1
Posté

On voit le veto ce soir, j'ai demandé à refaire des radios (S'il est encore vivant ce soir) ça me rassure beaucoup. 

Posté

Bon, ben il est décédé avant... je l'ai quand même emmené, et j'emmène Caryopse, qu'on le radiographie et voit si on fait des analyses sur Pyridion... 

Si quelqu'un a un éclair de génie sur quelles analyses faire, c'est le moment.

  • Tristesse 11
Posté

Bon, du coup, les radios montrent que ça a empiré aussi chez Caryopse... On va donc tester le chloramphenicol, par un énorme coup de chance je peux traiter Caryopse avec (c'est un médicament interdit en France)... C'est un peu le traitement de la dernière chance. Pour lui, pas d'intérêt de faire d'autres analyses sur Pyridion (en dehors de dilapider mon argent) on sait déjà ce qu'ils ont, il faut juste réussir à trouver un traitement qui agisse...

  • Tristesse 1
Posté (modifié)
Il y a 6 heures, Vazaha a dit :

Bon, du coup, les radios montrent que ça a empiré aussi chez Caryopse... On va donc tester le chloramphenicol, par un énorme coup de chance je peux traiter Caryopse avec (c'est un médicament interdit en France)... C'est un peu le traitement de la dernière chance. Pour lui, pas d'intérêt de faire d'autres analyses sur Pyridion (en dehors de dilapider mon argent) on sait déjà ce qu'ils ont, il faut juste réussir à trouver un traitement qui agisse...

Coucou je sais pas si mon message servira à quelque chose mais j'ai eu une louloute traitée par du chloramphenicol y'a quelques mois et sur elle ça l'avait stabilisé quelques temps 

Alors ce médicament sera peut être encore plus efficace que sur ma louloute ^^

 

J'aimerai bien savoir pourquoi il est interdit en France sachant que mon veto me l'avait délivré sans aucun mal 

Modifié par Pinky-pie62
Posté
Il y a 4 heures, Pinky-pie62 a dit :

Coucou je sais pas si mon message servira à quelque chose mais j'ai eu une louloute traitée par du chloramphenicol y'a quelques mois et sur elle ça l'avait stabilisé quelques temps 

Alors ce médicament sera peut être encore plus efficace que sur ma louloute ^^

 

J'aimerai bien savoir pourquoi il est interdit en France sachant que mon veto me l'avait délivré sans aucun mal 

Alors c'est un médicament qui a beaucoup d'effets secondaires et qui peut être potentiellement dangereux. Pour mon veto il a été interdit en premier lieu pour éviter que des animaux de rente ayant été traités avec se retrouvent sur le marché (effet tératogène notamment), et les animaux de compagnie en pâtissent... 

Posté
Il y a 16 heures, Vazaha a dit :

Bon, du coup, les radios montrent que ça a empiré aussi chez Caryopse... On va donc tester le chloramphenicol, par un énorme coup de chance je peux traiter Caryopse avec (c'est un médicament interdit en France)... C'est un peu le traitement de la dernière chance. Pour lui, pas d'intérêt de faire d'autres analyses sur Pyridion (en dehors de dilapider mon argent) on sait déjà ce qu'ils ont, il faut juste réussir à trouver un traitement qui agisse...

Beaucoup de courage à toi et j'espère que ce traitement va fonctionner 🍀🍀🍀

  • Merci 1
Posté
Il y a 7 heures, Vazaha a dit :

Alors c'est un médicament qui a beaucoup d'effets secondaires et qui peut être potentiellement dangereux. Pour mon veto il a été interdit en premier lieu pour éviter que des animaux de rente ayant été traités avec se retrouvent sur le marché (effet tératogène notamment), et les animaux de compagnie en pâtissent... 

Ah !? C'est un des premiers traitements qu'elle avait eu enfin elle avait eu de la doxycicline juste avant qui s'était avéré inefficace et en deuxième traitement le Chloramphenicol qui lui a permis de se stabiliser 

 

Tout les vetos ne travaillent pas de la meme façon mais il m'avait jamais parler de sa dangerosité 

Rejoindre la conversation

Vous pouvez publier maintenant et vous inscrire plus tard. Si vous avez un compte, connectez-vous maintenant pour publier avec votre compte.

Invité
Répondre à ce sujet…

×   Collé en tant que texte enrichi.   Coller en tant que texte brut à la place

  Seulement 75 émoticônes maximum sont autorisées.

×   Votre lien a été automatiquement intégré.   Afficher plutôt comme un lien

×   Votre contenu précédent a été rétabli.   Vider l’éditeur

×   Vous ne pouvez pas directement coller des images. Envoyez-les depuis votre ordinateur ou insérez-les depuis une URL.

[Projet vidéo] ChatBox

[Projet vidéo] ChatBox

    Vous n'avez pas la permission d'utiliser les salons de discussions.
    ×
    ×
    • Créer...

    Information importante

    En poursuivant votre navigation sur ce site, vous acceptez l’utilisation de cookies permettant d'améliorer votre expérience de navigation et mémoriser vos paramètres utilisateur pendant votre visite. Aucune information contenue dans ces cookies ne permet de vous identifier sans votre permission. SRFA ne transmet aucune information non anonyme à des applications tierces.