Aller au contenu
La vente de Teklad est ouverte ! ×

Messages recommandés

  • 1 an après...
Posté

Je voulais laisser ces deux liens ici, car ces informations sont assez récentes pour ma véto. Mais elle m’a dit avoir testé les deux méthodes, et que toutes les deux fonctionnent très bien.

 

https://bvajournals.onlinelibrary.wiley.com/doi/epdf/10.1002/vrc2.705

 

https://www.researchgate.net/publication/375335568_Sonography_of_the_pituitary_gland_in_pet_rats

 

Je pense que c’est une bonne idée d’évoquer ces possibilités avec vos vétérinaires. 

 

  • J'aime 1
  • Merci 2
Posté

Le second lien conduit très exactement au même article que celui que j'avais partagé en octobre 2024. Je me réjouis évidemment et absolument que cette belle information se diffuse, merci de cette bonne nouvelle ! :)

  • Merci 1
Posté

On a testé sur plusieurs rates (2 vieilles dont 1 qui avait des symptômes neuro, mais pas tout à fait les bons donc on n'était pas sûrs du tout et 1 jeune pour pouvoir comparer), mais pas de TH 😅😅 Ils ont vérifié au scanner du coup pour être sûrs de leur observation XD 

  • J'aime 2
Posté

Ah c'est sûr que la valeur prédictive positive est meilleure ! Vraiment chouette de savoir que ça commence à se pratiquer à plusieurs endroits.

  • J'aime 1
Posté

Ici mon véto m'avait répondu qu'il connaissait mais que selon lui ce n'était pas toujours très probant, que cela dépendait fortement de l'appareil et de la densité osseuse de chaque animal, et que la modalité de choix restait le scanner.

 

@Albuquerque c'est ta véto du Portugal ou ici en France ? Ce serait super si un véto du coin acceptait de le faire :)

Posté

@Ostracod mon véto en France n’a pas l’appareil le plus adapté : les deux fois où il a réalisé une échographie abdominale sur mes rates, il n’a pas réussi à obtenir des images vraiment exploitables. Il m’a même conseillé de me tourner vers la clinique la plus réputée du coin, qui dispose des machines les plus adaptées aux examens NAC.

Si ton véto est bien celui auquel je pense, je suis assez confiante qu’il pourra réaliser cet examen. Mais bien sûr, c’est un examen nettement moins coûteux qu’un scanner....

Je pense que, la prochaine fois que l’occasion se présentera, tu devrais lui montrer ces liens et préciser qu’il s’agit d’une découverte assez récente. Même des vétérinaires qui n’y croyaient pas au début ont été ravis de constater que c’était finalement possible.

Posté

Je lui avais envoyé le lien qu'avait partagé Artefact, apparemment il en avait déjà entendu parler. Si j'insiste ils voudront peut-être quand-même bien essayer. Maintenant qu'ils ne sont plus dans le centre qui fait les scanners, l'option de l'échographie leur paraîtra peut-être plus intéressante.

  • J'aime 1
Posté

Ici, j'en ai parlé à mon véto qui a pu tenter sur une de mes rates, mais pareil, il pense que son appareil n'est pas assez précis, il a bien vu des éléments, mais ce n'est pas assez nette pr qu'il puisse y déceler une TH. 

Enfin après a l'autopsie il n'y avait pas de TH donc peut être que s'il y en avait eu une il aurait vu quelque chose. En tout cas il était intéressé du sujet, mais malheureusement ils ne sont pas tjr en mesure de tous s'équiper d'échographie adapter j'imagine 

  • 3 mois après...
Posté

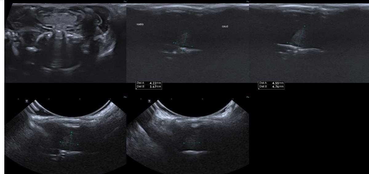
Alors, voici l'échographie du jour ! Première fois que je suis aussi contente de voir une tumeur :transpire: (Bon, j'avais pas de doutes, donc c'est surtout que je suis contente d'avoir la validation qu'ils réussissent à les voir)

 

Screenshot_20260313-172406_Drive.jpg

  • J'aime 3
Posté

Avec les radios ça commence à aller, mais sur les échos je vois jamais rien, c'est où que tu vois une tumeur ? (Pour que je puis comparer avec les échos d'Alcyone :siffle:)

  • J'aime 1
Posté

Je pense que c'est là où l'echographiste a fait des petits pointillés verts pour la mesurer !

 

Merci @Vazaha, c'est génial de savoir que ça marche et de pouvoir voir les images <3 j'espère que le traitement va aider Graine le plus longtemps possible.

  • J'aime 1
  • Merci 1
Posté
Il y a 11 heures, Artefact a dit :

Je pense que c'est là où l'echographiste a fait des petits pointillés verts pour la mesurer !

 

 

Ah ok, donc la différence c'est que sur celles d'Alcyone la taille est différente et c'est plus noir (enfin j'imagine :transpire:)

 

Révélation

echoalcyone.jpg.e46bc67f5a29ea637ad4da6c612e3817.jpg

 

Posté
Il y a 11 heures, Artefact a dit :

Je pense que c'est là où l'echographiste a fait des petits pointillés verts pour la mesurer !

Oui, c'est ça ! 

Après j'avoue que je serai incapable de me repérer seule, autant les radios ça va, autant les échos c'est compliqué ^^'

Rejoindre la conversation

Vous pouvez publier maintenant et vous inscrire plus tard. Si vous avez un compte, connectez-vous maintenant pour publier avec votre compte.

Invité
Répondre à ce sujet…

×   Collé en tant que texte enrichi.   Coller en tant que texte brut à la place

  Seulement 75 émoticônes maximum sont autorisées.

×   Votre lien a été automatiquement intégré.   Afficher plutôt comme un lien

×   Votre contenu précédent a été rétabli.   Vider l’éditeur

×   Vous ne pouvez pas directement coller des images. Envoyez-les depuis votre ordinateur ou insérez-les depuis une URL.

[Projet vidéo] ChatBox

[Projet vidéo] ChatBox

    Vous n'avez pas la permission d'utiliser les salons de discussions.
    ×
    ×
    • Créer...

    Information importante

    En poursuivant votre navigation sur ce site, vous acceptez l’utilisation de cookies permettant d'améliorer votre expérience de navigation et mémoriser vos paramètres utilisateur pendant votre visite. Aucune information contenue dans ces cookies ne permet de vous identifier sans votre permission. SRFA ne transmet aucune information non anonyme à des applications tierces.