Aller au contenu
Pour soutenir SRFA n'oubliez pas de (ré)adhérer (suppression des droits pour les non adhérents à la fin du mois !) ×

Messages recommandés

Posté

Je sollicite tout les retours d'expériences/avis avisés pour ma Kikis ; n'ayant connu que la solution doxy sur les soucis respi, je prends aussi les suggestions d'autres molécules et association de molécules.

Merci d'avance ;)

 

 

Bruits en lien avec (a priori) une conformation nasale :

Ils ont toujours été présents, notamment quand elle est excitée ou énervée (car contrariée que maman l'empêche de se battre avec mon autre groupe :transpire:)

J'ai adopté Kis l'été pourri dernier, l'hygrométrie ambiante était au minimum à 57-63 pendant 2 mois si c'est pas 3. Avec le rallumage des radiateurs à l'automne j'ai remarqué qu'elle faisait moins de bruits, on s'est donc dit qu'elle était sensible à une hygrométrie trop élevée. Ça remonte trop maintenant pour que je me souvienne vraiment de la différence de bruits (je crois quand même qu'ils avaient quasi disparus), mais en ce moment par exemple l'hygrométrie peut bien varier (à la baisse) et les bruits restent stables.

Elle ne fait pas spécialement de porphyrine ou de sécrétion, n'a jamais fait de fausse route alimentaire ou autre accident/dyspnée.

 

Elle a bénéficié de nombreuses visites véto à la faveur de visites pour d'autres de mes rates depuis son adoption (dont 3 pendant l'été de son adoption), et l'auscultation ne donnait pas de signes aux poumons. Par contre je n'ai jamais fait d'enregistrements pour mon véto, donc il n'a pas eu d'illustrations concrètes de ce que je lui disais... (et c'est con j'aurais du -_-)

Aucun traitement, car on est resté sur l'hypothèse de la conformation nasale.

 

 

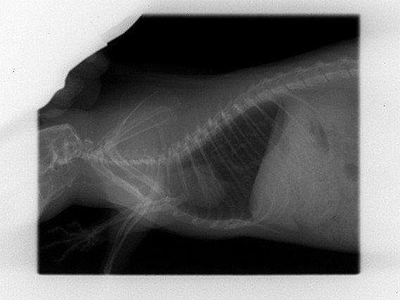
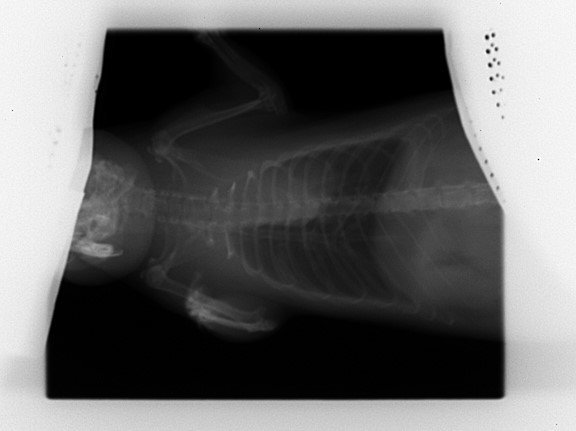
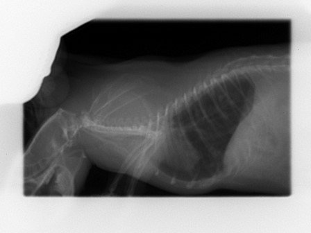
Découverte de multiples foyers infectieux dans les poumons :

Par radio, en janvier 2022.

A ce stade le véto n'est pas inquiet, car bien que multiples les tâches sont très infimes et les poumons restent intègres ; il me recommande de la surveiller de très près et me prévient que si une décompensation doit se faire se sera surement silencieusement (donc surveillance du poids et du mouvement respiratoire).

 

Le 25 mai je fais faire les radios de contrôle car je la trouve un chouya plus fine des flancs et on observe que l'aspect des foyers infectieux est plus "moucheté" ; c'est pas la cata encore (poumons toujours intègres) mais comme y'a tout de même évolution on commence le traitement : Doxy pour au moins deux semaines.

Le niveau de forme global est toujours stable.

 

Voilà les radios ; pour chaque ligne :

  • à gauche = janvier
  • à droite = mai

 

KISS 2022 01 03 (1).jpgKISS 2022 05 25 (2).jpg

 

KISS 2022 01 03 (2).jpgKISS 2022 05 25 (1).jpg

 

 

A priori les bruits des voies hautes ne sont pas liés aux foyers infectieux dans les poumons, les deux soucis seraient indépendants ; mais si vous avez une autre expérience je prends vos retours.

 

 

Autres remarques :

  • Kis est l'une de mes rares rates à être assommée par le sommeil, et quand elle se réveille elle a vraiment la tête dans le sceau : indicateur d'une fatigue de l'organisme ? (ça a toujours été comme ça) ; elle peut parfois faire beaucoup de bruits en dormant sans que le sommeil semble dérangé.
  • Kis est la championne du hoquet (qui n'est jamais silencieux mais elle ne semble pas en difficulté dans ces moments et les hoquets paraissent contextuels)
  • Kis n'éternue pas spécialement (et n'a jamais)
  • La radio montre que son cœur est légèrement décollé de l'endroit où il devrait être, mais sans que ça soit un soucis.
  • Le niveau de forme a toujours été très bon malgré les bruits récurrents (l'activité ne la jamais mise en dyspnée) ; poids stable entre 390 et 405 ; dominante du groupe.

 

 

J'aurais dans l'idée de poursuivre le traitement (l'adapter au besoin) jusqu'à disparition des tâches dans les poumons (à moins que des tâches résiduelles soient à envisager.. ?).

@SûryâKG et  @Ambrozy si vous avez des historiques de maladies et traitements associés dans la famille je prends !

Posté

Ca fait quoi comme bruit, m'dame ?

 

Je vais certainement pas pouvoir t'aider, je suis dans le même cas avec Ciel (je crois qu'elles ont un lien de parenté nos deux bavardes, d'ailleurs), mais je vais suivre le sujet - parce que je suis curieuse !

Posté

Il faut que :

1) elle fasse ses bruits

2) que j'ai le temps de l'enregistrer !

:transpire:

 

Sinon je pense que je pourrais égrener les descriptions sans que ça permette de vraiment saisir le problème ^^

Posté

Une infection des voies hautes peut créer du bruit. À priori, c’est ce que j’avais chez Renée pendant longtemps, mais que je prenais pour des couinements parce qu’elle ne le faisait qu’en dormant. Depuis qu’elle a été traitée, je n’ai plus rien. Vous n’avez pas fait de radio des voies hautes ? Cependant, il n’y avait pas d’atteinte des voies basses, il me semble, c’est uniquement les voies hautes qui ont complètement bouchées à un moment.

 

Il y a tout un paquet de molécules : azythromycine, gentamicine et enrofloxacine sont les 3 que j’ai essayées pour Renée. La dernière est en accès restreint, par contre, pour limiter les antibiorésistances chez les humains. Ça veut dire que ton véto ne la prescrira qu’après avoir tenté toutes les autres molécules (sur des animaux moins fragiles que les NAC, c’est même uniquement sur antibiogramme) (c’est un peu dommage pour nous parce que c’est un antibio très résistant).

Posté
il y a 5 minutes, Moté a dit :

Vous n’avez pas fait de radio des voies hautes ?

Je savais même pas que c'était possible :transpire:

 

Mon côté "cliente très prudente" m'a peut-être desservit sur ce coup.. il est possible que le véto ait pensé que je m'inquiétais pour rien au sujet de ses bruits. Faut vraiment que je fasse une captation vidéo..

Parce que je ne peux pas dire qu'elle se soit déjà retrouvée "bouchée" loin de là, mais par contre le bruit fait encombré.

Posté (modifié)

Honnêtement, c'est possible que j'ai dit une connerie sur la radio x) Je ne sais plus si on en a fait une pour Renée. Je me souviens très bien d'un scanner qui faisait ressortir un encombrement nasal, mais c'était pas Renée, et du coup c'était pas une radio (et c'était avec produit de contraste).

 

Après, s'il y a encombrement, normalement ça s'entend au stéthoscope. Même sur les voies hautes, mon véto arrive à remonter pas mal. Les flancs creusés, aussi, ça c'est de toute façon le signe sans équivoque, je crois. De tout façon, tu es sous traitement, donc soit ça s'arrange et c'est la bonne molécule, soit ce n'est pas le cas voire ça empire, dans ce cas on change ^^

Modifié par Moté
Posté

Les problèmes respiratoires chez le rat sont très souvent infectieux en effet. Et peuvent s'accompagner d'inflammations créant des lésions chroniques des tissus (ce qui est peut-être ce qui apparait à la radio).

Je te liste tous les antibios que les vétos ont prescrits à mes rats : la doxy que tu connais, les fluoroquinolones, la péniciline en injection, l'acide clavulanique-amoxiciline,  l'azithromycine, la gentamycine en aérosols, le chloramphénicol. 

A noter que j'ai eu des traitements longs pour la doxycycline. Mais si tu n'as pas vu d'effet en 2 semaines, il faut sans doute tenter un autre antibio ou voir si un anti-inflammatoire associé ne pourrait pas soulager. 

  • Merci 1
Posté

Je ne sais pas quoi penser des « traitements qui fonctionnent pour une famille » à moins d'une souche de mycoplasmes spécifique qui se serait fait refourguer par la mère. Mais j'y ai jamais trop réfléchi et j'ai pas du tout de recul sur les faits !

 

Je ne m'inquiéterais pas sur le côté "dormeuse profonde" si elle a toujours été comme ça. Les bruits respiratoires non infectieux mais plutôt inflammatoires et une pneumonie « à part » comme semble être l'hypothèse de ton véto, c'est loin d'être déconnant. Ou les deux sont liés. Qui sait ! ^^'

 

J'imagine qu'une radio de contrôle est prévue après le traitement à la doxy ? Je recommanderais de ne pas l'arrêter avant une amélioration à la radio au vu du tableau lésions pulmo + progression. Possible que ça ne régresse pas, mais y a plein de rats qui font des pneumos asymptomatiques au départ, et sans rhinites préalables ou quoi, donc comme elle a l'air un peu de cette trempe, vaut mieux sans doute s'assurer qu'elle nous fasse pas une saloperie en douce ><

Puis bon du reste perso j'ai pas de conseils différents de ceux qu'on donne d'ordinaire... Si 2 semaines de doxy ça suffit pas, pousser à 3-4 semaines. Si aggravation, changement de classe d'antibio en gardant toujours les bactéries les plus probables en tête (Mycoplasma)

 

En tous cas si pas de baisse de forme ni dyspnée objectivable à l'examen ni perte de poids, c'est des bonnes nouvelles !

Posté
il y a une heure, Ambrozy a dit :

Je ne sais pas quoi penser des « traitements qui fonctionnent pour une famille » à moins d'une souche de mycoplasmes spécifique qui se serait fait refourguer par la mère. Mais j'y ai jamais trop réfléchi et j'ai pas du tout de recul sur les faits !

Ok, bon à savoir ^^

 

J'hésitais à évoquer l'évolution en pneumonie.. Du coup Ambro quand tu parles de pneumo c'est "à venir"/évolution possible, mais pas son état actuel ?

(le véto n'a pas posé le mot lui).

 

Oui l'idée ça serait de faire une radio de contrôle car les bruits ne sont à priori pas un bon indicateur de ce qui se passe dans les poumons.

Posté

Non non, si on part du principe que les poumons sont bien atteints (visible à la radio) et qu'il s'agit d'un truc « actuel » et pas juste de cicatrices d'atteintes passées (ce que la progression semble suggérer) on est bien sur une pneumonie. Une pneumonie ça veut « juste » dire une infection des poumons, c'est purement descriptif sans présumer du pronostic ou de la gravité.

  • Merci 1

Rejoindre la conversation

Vous pouvez publier maintenant et vous inscrire plus tard. Si vous avez un compte, connectez-vous maintenant pour publier avec votre compte.

Invité
Répondre à ce sujet…

×   Collé en tant que texte enrichi.   Coller en tant que texte brut à la place

  Seulement 75 émoticônes maximum sont autorisées.

×   Votre lien a été automatiquement intégré.   Afficher plutôt comme un lien

×   Votre contenu précédent a été rétabli.   Vider l’éditeur

×   Vous ne pouvez pas directement coller des images. Envoyez-les depuis votre ordinateur ou insérez-les depuis une URL.

[Projet vidéo] ChatBox

[Projet vidéo] ChatBox

    Vous n'avez pas la permission d'utiliser les salons de discussions.
    ×
    ×
    • Créer...

    Information importante

    En poursuivant votre navigation sur ce site, vous acceptez l’utilisation de cookies permettant d'améliorer votre expérience de navigation et mémoriser vos paramètres utilisateur pendant votre visite. Aucune information contenue dans ces cookies ne permet de vous identifier sans votre permission. SRFA ne transmet aucune information non anonyme à des applications tierces.